Dental Care Center of Hollywood offers a wide range of teeth straightening methods including traditional metal braces, ceramic braces, and several Invisalign clear brace options.
Whether you have a mild case or need treatment for a combination of crowding, misalignment, or bite issues, Dr. Hans Sperling can help.
When your teeth are crowded, tipped, or unevenly aligned, they are harder to clean. Because some of the surface areas of the teeth are obstructed by one another, decay has a better chance of spreading deep into the pulp. When this happens, the tooth is compromised and must undergo extensive treatment. A crown is often necessary to completely restore the tooth and its placement can become more complex because of crowding.
Teeth that are properly aligned are less likely to cause discomfort or impede the chewing process. Untreated orthodontic problems can lead to TMJ disorder, a painful condition of the jaw, teeth grinding, and self-consciousness.
Our dentist offers a solution to straighten any smile. Our Hollywood office is equipped with advanced technology, allowing Dr. Sperling to assess your needs with detailed precision. Short-term metal braces are often necessary for phase one orthodontics or early intervention.
Metal braces are also more efficient in treating complex cases such as:
Traditional braces with ceramic brackets may be recommended if the malocclusion is not too serious.
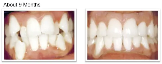
Invisalign Clear Braces offer several discreet options to treat mild to complex orthodontic issues. They are removable but must be worn at least 22 hours per day for a successful outcome.
At Dental Care Center of Hollywood, other Invisalign products are available that can quickly and efficiently move a minimal amount of crooked teeth.
Dr. Sperling is highly-skilled and has many years of experience straightening the teeth of patients who desire a more uniform and healthy smile. These qualities along with our state-of-the-art dental office ensure our patients get the personalized care that has become our trademark at Dental Care Center of Hollywood.
To learn more about our Hollywood orthodontic services, or to schedule a visit, call our office today!
Before Invisalign After Invisalign

































































| Monday | 8:30 AM – 5:30 PM |
| Tuesday | 8:30 AM – 5:30 PM |
| Wednesday | 8:30 AM – 5:30 PM |
| Thursday | 8:30 AM – 5:30 PM |
| Friday | 8:30 AM – 1:30 PM |
| Saturday | Closed |
| Sunday | Closed |